Case Study: Life-Saving Bronchoscopy in a 2-Month-Old Infant with Severe Pneumonia

Department: Pediatric Pulmonology

Consultant: Dr. Siddhant Lalwani, Pediatric Pulmonologist

__________________________________________________________________________

Clinical Background:

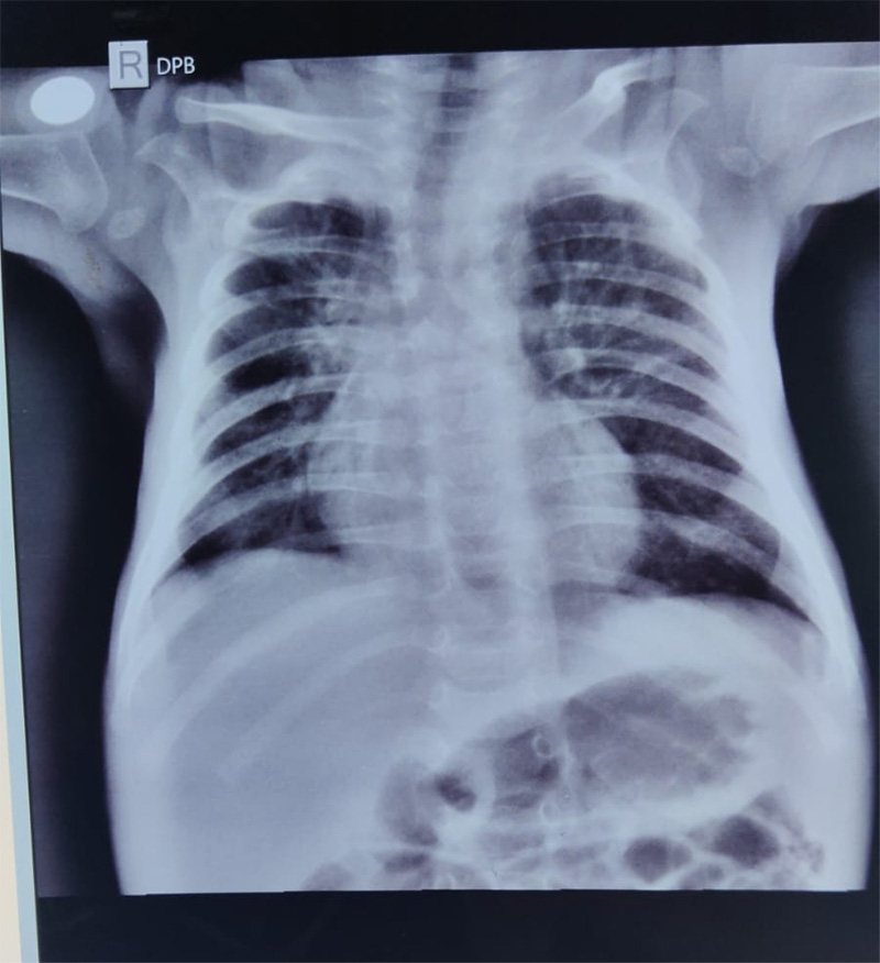
A 2-month-old infant was admitted to the hospital with severe pneumonia. The child had been under inpatient care for over two weeks with persistent symptoms and no significant clinical improvement. Chest X-rays showed progressive worsening of the right lung, and the infant remained dependent on oxygen support.

Clinical Presentation:

  • Persistent fever and respiratory distress
  • Oxygen dependency
  • Radiological evidence of right lung consolidation
  • No improvement despite aggressive medical management

Intervention:

Dr. Siddhant Lalwani, upon evaluating the infant, suspected an obstructive element and recommended a diagnostic bronchoscopy. Given the prolonged course, lack of response to treatment, and localized worsening on imaging, bronchoscopy was both a diagnostic and potentially therapeutic step.

Procedure:

A flexible bronchoscopy was performed under controlled conditions. The procedure revealed a thick mucus plug completely obstructing a segment of the right lung. The plug was successfully extracted during the bronchoscopy.

Outcome:

  • Immediate improvement in oxygenation
  • Significant clinical improvement observed within 24-48 hours post-procedure
  • Chest X-rays post-bronchoscopy showed clear re-expansion of the affected lung area
  • Oxygen requirements were reduced
  • The infant was gradually weaned off oxygen and is currently stable and recovering well

 Conclusion:

This case highlights the critical role of bronchoscopy in both diagnosing and treating airway obstructions in infants. In this case, a simple yet timely intervention not only clarified the cause of persistent pneumonia but also provided immediate therapeutic relief.

Report